野球肘 Thrower's elbow/Little league elbow
ドクターによる症状解説

Mitsutoshi Hayashi
林 光俊先生
医学博士、日本リハビリテーション医学会専門医、日本整形外科学会専門医、日本リウマチ学会専門医、JOC強化スタッフ、日本体育協会公認スポーツドクター
野球肘
野球肘は学校野球レベル以上に多く発生し、その大半が投手だ
疾患の概要
野球肘はジュニア期の野球投手に多く発生する投球過多、オーバーユースに起因する肘の代表的スポーツ障害です。成長期に骨が障害されるため、肘痛のみならず将来に禍根を残す骨変形をも合併します。現在、甲子園に出場する投手は肘のメディカルチェックが義務づけられ、レントゲン検査など障害の程度によっては出場禁止にもなります。
原因・発症のメカニズム
疾患の概念
野球肘は名前のごとく、野球によるスローイング動作、特に成長期の投手に多く発生するオーバーユース(使いすぎ)に起因し、投球側の肘の①内側(図1)、②外側(写真1)、③肘頭(写真2)に発生する投球時の疼痛が主症状であるスポーツ障害です。徐々に発症する場合が多く、慢性化しやすいため肘の疼痛が出現したら注意を要します。投球動作の加速期(acceleration)は肘関節屈曲、外反、前腕回外位をとります。内側型は肘の内側部が投球動作時に回内屈曲筋によって牽引力が加わり、回内筋群や内側側副靱帯、尺骨神経がストレッチされ、内側に微細損傷が発生します。重症例では上腕骨内側上顆〈じょうか〉骨が牽引力によって剥離骨折を起こします。外側型は逆に肘外側にある上腕骨小頭や橈骨〈とうこつ〉頭に圧迫力が加わり、骨の壊死〈えし〉、欠損、遊離体などの離断性骨軟骨炎が発生します。後方型は減速期(follow-through)に肘伸展位で、尺骨肘頭に牽引力が加わり剥離や疲労骨折などの変化をきたします。

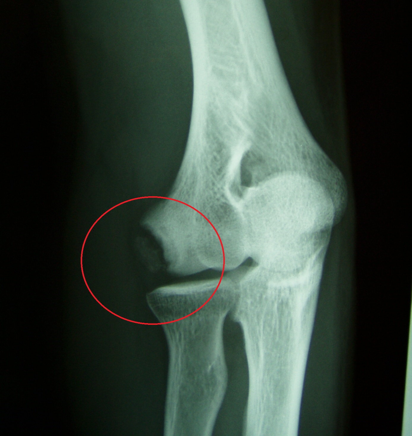
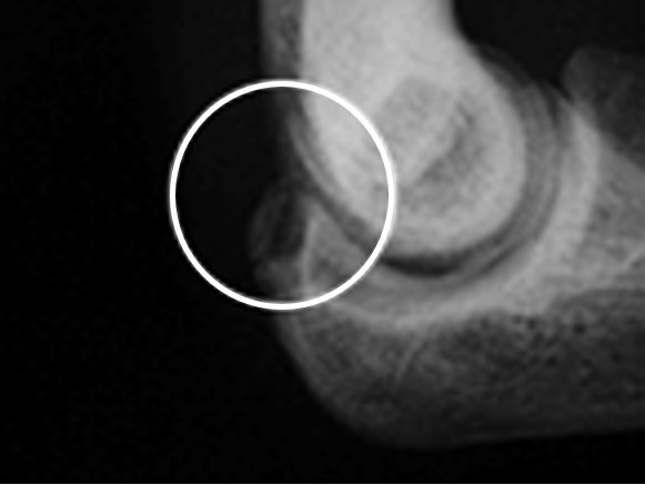
図1 内側型:上腕骨内側上顆の離開

写真1 外側型:上腕骨小頭に骨遊離像を認める

写真2 肘頭型:尺骨肘頭に骨の離開像を認める

写真3 内側型:右肘内側部の腫脹が著明である
診断
症状
内側型では明らかな肘内側の圧痛、腫張〈しゅちょう〉(写真3)、投球時の肘痛、肘の可動域制限、時に小指側のしびれ感が出現します。外側型では肘外側の疼痛に加え、ロッキング症状を呈することがあります。後方型では肘後方の圧痛、投球時痛、ロッキング症状を呈します。
診断
上記症状に、レントゲンでの骨変化を認めます。内側型では上腕骨内側上顆の骨肥厚、骨端線離開、回内筋部への骨遊離像を、外側型では上腕骨小頭や橈骨頭の骨変形、欠損、遊離骨片の存在を、後方型では尺骨肘頭の亀裂骨折、疲労骨折像を認めます。
好発スポーツ
上記症状に、レントゲンでの骨変化を認めます。内側型では上腕骨内側上顆の骨肥厚、骨端線離開、回内筋部への骨遊離像を、外側型では上腕骨小頭や橈骨頭の骨変形、欠損、遊離骨片の存在を、後方型では尺骨肘頭の亀裂骨折、疲労骨折像を認めます。野球、テニス(サーブ)、アメリカンフットボール(QB)、ヤリ投げなど、オーバーヘッドスローのスポーツが好発スポーツとして挙げられます。
スポーツレベル
リトルリーグレベル、中学校レベル以上に多く、その大半が投手です。時に捕手にも起こりますが、野手には多くありません。
好発年齢
10〜16歳の男子に多く発症し、好発部位は先に述べた通り、投球肘の内側、外側、後方です。
治療・リハビリ
治療方法
主原因であるオーバースローのピッチング動作の休止を徹底します。また、投球後のアイシングを徹底します。骨変化が認められる場合は、3ヵ月以上のスローイング動作の休止が必要です。骨に変化をきたしている場合は、最低1-3年ぐらいのフォローアップが必要です。遊離骨片によって肘がロッキングしている場合は、骨片摘出手術が必要となります。
注意点
疼痛発症初期に投球動作を休止しないと骨に変化をきたし、結果的に数ヵ月から数年の投球禁止を余儀なくされます。ただしランニングやバッティングは可能であり、ポジション変更の検討を要します。成長期のため、骨端線を損傷する重症例では肘が外反(外側型)、内反肘(内側型)変形をきたします。
トレーナーによる対処法解説

Hitoshi Takahashi
髙橋 仁先生
帝京平成大学地域医療学部准教授
日本体育協会公認アスレティックトレーナー、はり・きゅう・マッサージ師
野球肘
予防
はじめに
野球肘は、成長期の投手に多発するスポーツ障害です。使いすぎ(投げすぎ)が原因で起こるため、予防が可能です。予防対策は、身体的特徴を調べる整形外科的メディカルチェックと日常のコンディショニングが柱となります。今回は、整形外科的メディカルチェックの内容を中心に説明します。
整形外科的メディカルチェック
整形外科的メディカルチェックというと、特殊で大がかりな検査をするイメージですが、内容は簡便に実施できるものです。以下に示したものは、選手の身体状況を把握するために、指導者が現場で実施してもらいたいチェック項目です。メディカルチェックを定期的に実施することにより、障害を早期発見することが可能となります。問題のある選手は、ただちにスポーツドクターを受診させます。
既往歴の調査
過去の外傷・障害について調査します。程度は、練習を休んだり、制限しなければならなかったりした場合を基準とします。その際、ドクターの診断の有無、痛みの部位、発症の経過などについても併せて調査します。既往のある選手は、特に日常のコンディショニングが大切となります。
現場評価・応急処置
圧痛のチェック(写真1〜7)
肘関節内側・外側・後方に圧痛が認められる場合は、障害が疑われます。野球肘は、内側から外側へ進行するので、外側の圧痛は重症の可能性もあります。そのときはただちにスポーツドクターを受診させます。

チェックの方法
上腕骨内・外側上顆と肘顆の位置:肘関節を伸展させたとき、肘顆・内側上顆・外側上顆は一列に並ぶ。写真では、検者の親指が外側上顆、人差し指が肘顆、中指が内側上顆に触れている(被検者の肘は右)
内側の圧痛をチェックする部位(カッコ内は予測される代表的な障害、以下、被検者の肘は左)

写真2 上腕骨内側上顆

写真3 上腕骨内側上顆(リトルリーグ肘)の触れ方

写真4 屈筋群起始部周辺(内側上顆炎)

写真5 内側側副靭帯:内側上顆下端前面を押す(内側側副靭帯損傷)
外側の圧痛をチェックする部位

写真6 肘関節を屈曲して上腕骨外側部の圧痛をチェックする(離断性骨軟骨炎)
後方の圧痛をチェックする部位

写真7 肘頭窩:肘関節を軽度屈曲して肘頭部や肘頭窩の圧痛をチェックする(肘頭骨端炎)
関節可動域のチェック(写真8〜11)
肘になんらかの問題があれば可動域制限となって表れます。伸展と屈曲動作をチェックします。また、手関節屈筋群の牽引ストレスが内側痛の、伸筋群の牽引ストレスが外側痛の原因となるため、手関節屈曲(底屈)と手関節伸展(背屈)の可動域制限もチェックします。可動域は約90度あれば問題ありません。
関節可動域チェックの方法

写真8 肘伸展:胸の前で肘を伸展させる。左右を比較しながら伸展制限がないか、チェックする。

写真9 肘屈曲:肘を体側部につけた状態で、肩に触れることができるか、チェックする。

写真10 手関節伸展:左右を比較しながら、伸展制限やストレッチ痛の有無をチェックする。

写真11 手関節屈曲:左右を比較しながら、屈曲制限やストレッチ痛の有無をチェックする。
リコンディショニング
日常のコンディショニング
ストレッチング
練習前後のストレッチングは、すべての障害を予防する意味でとても大切です。肩や肘のストレッチングは必ず行いましょう。また、ピッチングは全身運動なので、股関節や体幹の柔軟性も必要です。肘関節に限れば、前腕屈筋群、伸筋群のストレッチングがポイントになります。
アイシング
ピッチング後のアイシングも有効です。ただし、「痛みを感じたり、投球数が多くなったりしても、アイシングをすれば大丈夫」ということではありません。
投球制限のルールづくり
骨が柔らかい成長期では、投げすぎないことが最も効果的な予防法です。しかし、「これ以上投げると障害を起こす」、「これ以下であれば安全」という明確な基準はありません。よって、チームで投球数や連投の禁止などのルールを決めておくことを勧めます。 資料に、野球の障害に対するスポーツドクターの提言を紹介します。ぜひ参考にしてください。
スポーツを楽しむことは青少年の健全な心身の育成に必要である。野球はわが国における最もポピュラーなスポーツの1つであるが、骨や関節が成長しつつある年代における不適切な練習が重大な障害を引き起こすこともあるので、その防止のために以下の提言を行う。
1. 野球肘の発生は11、12歳がピークである。したがって、野球指導者はとくにこの年代の選手の肘の痛みと動きの制限には注意を払うこと。野球肩の発生は15、16歳がピークであり、肩の痛みと投球フォームの変化に注意を払うこと。
2. 野球肘、野球肩の発生頻度は、投手と捕手に圧倒的に高い。したがって、各チームには、投手と捕手をそれぞれ2名以上育成しておくのが望ましい。
3. 練習日数と時間については、小学生では、週3日以内、1日2時間を超えないこと。中学生・高校生においては、週1日以上の休養日をとること。個々の選手の成長、体力と技術に応じた練習量と内容が望ましい。
4. 全力投球数は、小学生では1日50球以内、試合を含めて週200球を超えないこと。中学生では1日70球以内、週350球を超えないこと。高校生では1日100球以内、週500球を超えないこと。なお、1日2試合の登板は禁止すべきである。
5. 練習前後には十分なウォーミングアップとクールダウンを行うこと。
6. シーズンオフを設け、野球以外のスポーツを楽しむ機会を与えることが望ましい。
7. 野球における肘・肩の障害は、将来重度の後遺症を引き起こす可能性があるので、その防止のためには、指導者との密な連携の下での専門医による定期的検診が望ましい。
日本臨床スポーツ医学会学術委員会
資料 青少年の野球障害に対する提言
日本臨床スポーツ医学会整形外科学術部会編,『野球障害予防ガイドライン』,文光堂,1998.より
関連する症例
ザムストのご紹介
「ザムスト-ZAMST」は、医療メーカーとして整形外科向け製品を開発・製造する日本シグマックス㈱が展開するスポーツ向けサポート・ケア製品のブランドです。
