足関節捻挫 Ankle sprain
ドクターによる症状解説

Mitsutoshi Hayashi
林 光俊先生
医学博士、日本リハビリテーション医学会専門医、日本整形外科学会専門医、日本リウマチ学会専門医、JOC強化スタッフ、日本体育協会公認スポーツドクター
足関節捻挫
疾患の概要
スポーツ選手にとって足関節は重要で、かつ繊細な動きを求められる関節の1つです。足関節捻挫(靱帯損傷)はスポーツによる急性外傷としては最も頻度が高く、かつ重症度の高い障害ですが、軽視され慢性化する場合が多いので注意を要します。
原因・発症のメカニズム
解剖
足関節は脛骨、腓骨、距骨の3つの骨より成り立ち、外側(腓骨側)は前距腓靱帯、後距腓靱帯、踵腓靱帯で囲まれています(図1)。内側(脛骨側)は三角靱帯という強い靱帯で守られています。

図1 足関節外側の靭帯
受傷原因
足関節は外反より内反方向に可動性が高い関節です。滑ったり、足の上に乗ったりすると、急激な内反が矯正され外側にある前距腓靭帯などが伸びたり断裂します。多くが外側の靭帯が損傷する内反捻挫です。
バレーボールやバスケットボール競技で特に多く発生します。ジャンプの着地時に人の足の上に乗り、足関節の内反が強制されて起こる場合が最も重症です(写真1)。床で滑って足をひねった場合(自損例)は中等症の損傷が多く、サッカー、ラグビー、アメリカンフットボールなどにみられる接触プレーをはじめ、野球のスライディング、体操競技、テニスに多く発生します。ときに、外反が強制された内側の損傷例もあります(写真2)。
スポーツレベルは、レクリエーション、学校体育からトップレベルの競技全般において発生します。

写真1 内反捻挫(外側)にて腫張、皮下出血が明らかである

写真2 外反捻挫(内側)にて腫脹が明らかである。
診断
内反捻挫の場合は足関節外側の圧痛、内反ストレスによる動揺性、左右差をみます。
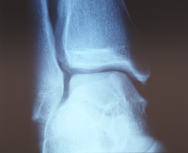
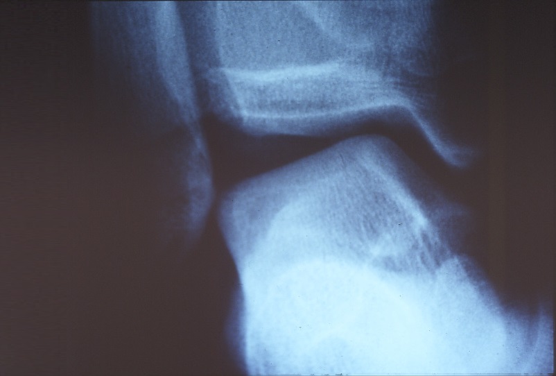
レントゲンチェックによる骨折の有無判定や、骨片の存在チェック、靱帯の緩みを調べるストレスレントゲン(写真3、4)、最近ではMRIや超音波検査で靭帯の有無、走行異常や肥厚像、出血などをチェックできます。
治療・リハビリ
急性期では受傷部位を確認し、RICE処置にのっとってスプリント(副木)、包帯、テーピングによる固定、アイシングを行い(写真5)、患肢挙上により安静を保ちます。 歩行に際して足関節に強い疼痛を感じるようならば、整形外科(できればスポーツドクター)を受診しましょう。損傷の程度を3段階に分けると、治療やリハビリテーション法の決定に有用です。
受傷初期は足関節の運動制限をきたすため、アキレス腱のストレッチングが大切です(写真6)。底背屈運動を可能にして内反運動の制限が要求されるため、競技復帰に際しては、テーピングや足関節装具による予防法が用いられています(写真7)。
1度:靱帯の微細損傷や軽度の圧痛があるが、いわゆるちょっとひねった程度であるため、当日もしくは2~3日で競技復帰が可能な状態。歩行や軽い走行も可能。
2度:靱帯の部分断裂で圧痛、腫脹が強く、歩けるが走れない。競技復帰まで2~3週間かかる。装具やテーピング、副木固定が必要です。念のために医療機関でチェックを受けてください。
3度:完全な靱帯断裂で圧痛、腫脹、熱感、皮下出血が強く、自分で歩くのがやっとです。競技復帰まで1~2ヵ月を要します。医療機関での治療(ギプスや装具による強固な固定、もしくは断裂靱帯の縫合手術)が必要です。

写真3 足関節は一見保たれている

写真4 同症例のストレスレントゲン写真は外側靱帯断裂のため足関節の傾きが明らかである。
注意点
初回受傷時に適切な固定や安静期間を設けないと、関節の動揺性が残存して、慢性繰り返しの捻挫の原因になるので注意を要します。更に悪化すると足関節のインピンジメント症候群や軟骨変性の原因にもなります。

写真5 足首のアイシング
ZAMSTの足首用アイシング製品はこちら

写真6 低い姿勢で壁を押す。このときふくらはぎが伸びて、足関節が背屈しアキレス腱が伸びる状態を意識する。ラグビーのスクラムの姿勢が好例。

写真7 装具装着下では、ストレスをかけても内反はさほど強制されない
ZAMSTの足首用サポーターはこちら
ポイント
足関節を前後左右4面にみたてた各方向のトレーニングを行うこと、特に損傷した外側靱帯の代わりに腓骨筋腱を強化(足関節外反方向の運動)することが競技復帰に向けて重要です。
トレーナーによる対処法解説

Yoshizumi Iwasaki
岩崎由純先生
NATA公認アスレティック・トレーナー、日本体育協会公認アスレティックトレーナー、JCCA(日本コア・コンディショニング協会)会長
足関節捻挫(トレーナー編)
予防
サポーターやテーピングなどを利用しましょう。テーピングは専門書などを参考にしながら、ニーズに合わせて巻いてください。 サポーターは、かなりの種類が市場に出回っています(メディカル編写真5)。メーカーによって内反捻挫をどうサポートするかの機能性が違ってきます。また、素材の硬さや基本となる足型の違いから、フィット感が異なるのも事実です。シューズと同じように足を通してから選手に合うものを選ぶことが大切です。
現場評価・応急処置
足関節捻挫(靱帯損傷)とは、わかりやすくいえば「足首をひねって」受傷することです。まずは傷害発生時の状況によって、ある程度は「ことの重大さ」を判断できます。 (1) そのままうずくまって動けない。 (2) すぐに自力で練習(試合)から外れて報告。 (3) プレー終了後報告。 (4) 練習(試合)終了後報告。 (5) 翌日以降に報告。 痛みに対する強さや感じ方は選手によってかなり違うので、翌日以降に報告したからといって軽傷と決めつけるわけにはいきません。しかし、自力で動けずに担架で搬出した場合には、大ケガを想定した対処が必要です。
HOPS
スポーツの現場でなんらかの傷害が発生したときには、トレーナーは状況を判断するために事情聴取(H:history)をして話を聞きます。そして患部をよく見て(O:observation)、触って (P:palpation)、動きのチェック(S:stress check)をします。
事情聴取:何が起きたのかを本人から説明してもらいます。その段階で「折れた」「音が聞こえた」などの重大なサインがあった場合には、病院に移送します。
視診:実際に患部を見ます。明らかな変形、腫脹、変色がある場合にも、やはり病院へ行きます。
触診:次に触ってみます。ここでは発熱や腫脹をチェックしますが、明らかな異常がある場合には病院へ移送してください。
チェック:上記の3段階チェックで大丈夫そうでも、「立てない」「歩けない」「走れない」というケースがあります。実際に動かせるかどうかを確かめ、機能的に異常がある場合にもやはりドクターの診察を受けるべきです。
HOPSのチェックをすべてクリアして初めて、テーピングなどの予防措置をして再開テスト(表1)を行います。基本的に足関節の内反捻挫は、一度はドクターに見せるものだと考えておいてください。
足関節捻挫もほかのスポーツ傷害同様、応急処置の基本はRICE処置です。患部を固定して安静状態をとり(R:安静)、氷で患部を冷やします(I:冷却=アイシング)。そして、患部を圧迫して(C:圧迫)心臓より高く上げます(E:挙上)。 アイシングの際、冷えすぎた氷や、化学反応を利用したアイスパックなどを使用すると凍傷の危険性がありますが、製氷機で作られたフレッシュな氷は直接患部に当てても大丈夫です。ただまれに、冷却することに対してアレルギー反応を示す人がいますので、ドクターに相談してみてください。

注意! アイシング中もどんどん熱が上がり、痺れが広がって患部をかきむしりたくなるほど痛みが激しいときには、コンパートメント症候群*の危険性があります。挙上は心臓の高さまでとし、大至急、病院に行ってください。緊急手術適用の可能性があります。
ZAMSTの足首用アイシング製品はこちら
* 筋膜、筋間中隔、骨、骨間膜によって囲まれた部分(コンパートメント)の内圧が上昇して起こる、循環(血液)障害。内圧を下げなければ、筋肉が壊死し、後遺障害が引き起こされる。
リコンディショニング
3度の損傷などで手術適用となった場合には、初期のリハビリテーションは病院で理学療法士の指示下で行います。関節可動域や筋の機能回復などが主な目的です。病院に行かなかった場合でも、安静期間後は必ず柔軟性や筋力、バランス(関節の安定性を含む)などを獲得するためのリコンディショニングを行います。メディカル編でも触れているように、特にアキレス腱の柔軟性は、足関節捻挫と密接な関係がありますので、ストレッチングはしっかりと行ってください。

関連する症例
ザムストのご紹介
「ザムスト-ZAMST」は、医療メーカーとして整形外科向け製品を開発・製造する日本シグマックス㈱が展開するスポーツ向けサポート・ケア製品のブランドです。
